수술없이 아름답고 자연스러운

라인과 각도를 만들어 드립니다.

광덕안정치과 교정은 이상적인 각도와 비율, 아름다운 얼굴 라인을 완성합니다.

월별 정밀검진 시스템, 3D 최신기기 보유

1:1 맞춤 월별 정밀검사 시스템

  • 진단, 수립, 사후 관리까지

    평생 교정 주치의

  • 매월 구강카메라 촬영 및 정밀 검진

    최적의 치료 계획 수립

  • 아프지 않고 편안한 진료

    꼼꼼하고 섬세한 치료 스킬

  • 정밀하고 정확한 분석

    최신 3D 기기 보유

광덕안정치과는 다릅니다!

광덕안정치과 월별 검진프로그램

  • 타 치과 검진 주기
  • 광덕안정치과 월별 검진프로그램
  • 매월 정밀검진을 진행하지 않아
    긴밀한 교정 진행에 한계 발생 (약 2~5회)

  • 월 정밀검진과 1:1 맞춤 상담을 통한
    최적의 치료 수립과 만족스러운 결과(최소 12회 이상)

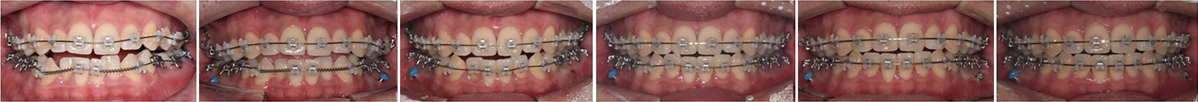
교정1개월 ~ 6개월 사진
  • 교정 시작 1개월
  • 2개월
  • 3개월
  • 4개월
  • 5개월
  • 6개월
교정7개월 ~ 12개월 사진
  • 7개월
  • 8개월
  • 9개월
  • 10개월
  • 11개월
  • 교정 마무리

의료법상 치료사례 정보는 로그인 후 확인 가능합니다

광덕안정치과는 타 치과와 달리, 매월 구강촬영 및 정기검진을 진행
고객에게 가장 적합한 치료 계획을 지속적으로 수립해 나갑니다.

  • 광덕안정치과 치아교정 ; 얼굴과학

    이상적인 각도와 비율 아름다운 얼굴 라인을 완성합니다

    체크 아이콘 얼굴분석

    얼굴 측면 라인 / 좌우 비율 / 상하 비율 분석

    안모의 분석을 통하여, 헤어라인 / 미간 / 코끝 1:1:1 비율과
    입술이 코끝 / 턱끝과 1:3 맞물린 이상적인 비율을 만듭니다

    체크 아이콘 미소라인 분석

    치아 라인 / 입술 라인 / 교합 분석

    윗니 배열, 아랫입술의 곡선이 서로 일치하는 것이 심미적인 형태로,
    환자에게 가장 아름다운 미소라인을 책임집니다

    체크 아이콘 돌출입 분석

    치아 라인 / 입술 라인 / 교합 분석

    E-Line, TVL 분석 등 다양한 관점으로 돌출 정도를 파악하여
    이상적인 측면 81° 각도를 완성합니다.

    광덕안정치과는 다각적 정밀분석으로
    개개인의 얼굴과 구강상태에 알맞은 맞춤 교정을 행하고
    정교하고 아름다운 결과까지 함께 합니다

평생 교정 주치의, 광덕안정치과

광덕안정치과는 교정 주치의가 변경되지 않아 연령별 맞춤 치아교정이 가능하며 성인이 된 이후 사후관리까지 책임집니다

  • 소아 교정

    7세 이후

    - 아이의 치아가 거꾸로 물리는 경우

    - 이갈이, 앙다무는 습관이 있는 경우

    - 윗니와 아랫니가 맞닿지 않는 경우

    줄

    1차 턱성장 교정

    - 환자 / 보호자와의 긴밀한 소통, 정밀한
    분석을 통해 골격적인 부조화를 바로 잡아
    올바른 교합을 함께 맞춰갑니다

  • 청소년 교정

    12~13세 이후

    - 음식을 씹는데 어려움이 있는 경우

    - 발음이 정확하지 않은 경우

    - 턱이 한쪽으로 틀어져 있는 경우

    줄

    성장을 고려한 맞춤 치아교정

    - 환자의 불편함을 해소하기 위해 충분한
    상담과 세심한 진료를 진행합니다

    - 사후관리까지 주치의가 변경되지 않아
    성인 이후의 관리까지도 책임집니다

  • 성인 교정

    성인·중장년 교정

    - 치아가 삐뚤삐뚤한 경우

    - 유치가 제 시기에 빠지지 않은 경우

    - 얼굴의 균형이 어긋난 경우

    줄

    심미적 고민까지 해소하는 치아교정

    - 정밀한 분석을 바탕으로 치료 계획을
    수립하여 만족스러운 결과까지 함께 합니다

    - 심미적 교정 장치 사용으로 교정 시 발생하는
    외적인 고민을 해소합니다